Morbus Schlatter Op Erfahrungen . Morbus Schlatter strl 3 stimmt es dass man die dann 3 mal im jahr machen müsste? und bezahlt das die versicherung? ich bin privatversichert falls das eine rolle spielt Ich bin mittlerweile 28 Jahre alt und lebte mit morbus schlatter gute 16 Jahre
Morbus Osgood Schlatter PodoCapelle from www.podo-capelle.nl
Hallo, Ich bin 18 und leide seit 4 Jahren an Morbus Schlatter Die Operation des Morbus Osgood-Schlatter ist eher selten notwendig
Morbus Osgood Schlatter PodoCapelle Er hat meinem Sohn eine sehr teure Sportbandage verschrieben und weiter nichts Die Operation des Morbus Osgood-Schlatter ist eher selten notwendig Er hat meinem Sohn eine sehr teure Sportbandage verschrieben und weiter nichts
Source: fieldllcyga.pages.dev Sporlastic Morbus Schlatter Kids Knee Support OrthoMed Canada , Es hat auch nicht wirklich etwas gebracht, da es wieder genau so aussieht wie vor der OP. (Genesungszeit nach einer Operation: Links: 3 Wochen; Rechts: 4 Monate) Daher meine Frage: Habt ihr Erfahrungen mit M.O
Source: divejoyjkc.pages.dev Morbus OsgoodSchlatter Ursachen, Symptome und Behandlung Apollo Hospitals , mit der Operation? Wie lange hat es gedauert bis ihr aktiv Sport machen konntet etc.? Heute weiss ich aber, dass Morbus Schlatter eigentlich nicht mehr operiert wird
Source: baikangvft.pages.dev Orthopädie für Patienten Die OsgoodSchlatterErkrankung Der Morbus OsgoodSchlatter , Es hat auch nicht wirklich etwas gebracht, da es wieder genau so aussieht wie vor der OP. Hallo, ich kann hier gern mal meine Erfahrungen zu dem Thema einbringen
Source: bjsnyjkax.pages.dev Morbus Osgood Schlatter PodoCapelle , Die Operation des Morbus Osgood-Schlatter ist eher selten notwendig Hallo, Ich bin 18 und leide seit 4 Jahren an Morbus Schlatter
Source: bgtcjrspvi.pages.dev Morbo di OsgoodSchlatter FisioScience , Wie alle Operationen hat auch die Behandlung von Morbus Osgood-Schlatter gewisse Risiken. stimmt es dass man die dann 3 mal im jahr machen müsste? und bezahlt das die versicherung? ich bin privatversichert falls das eine rolle spielt
Source: btswavegop.pages.dev Morbus Osgood Schlatter YouTube , Hallo Zusammen, hat jemad Erfahrung in der >Behandlung< vollständigen Wiederherstellung von Patellaspitzensyndrom // Morbus Osgood-Schlatter im Grad 2 :co Ich wurde dann in München operiert und der Knorpel wurde ausgeschabt
Source: matrizzuqa.pages.dev Morbus OsgoodSchlatter Ursachen, Diagnose, Therapien Orthinform , Sie wird vor allem bei den Patienten von Bedeutung, bei denen die konservativen Therapiemaßnahmen nicht helfen Wie alle Operationen hat auch die Behandlung von Morbus Osgood-Schlatter gewisse Risiken.
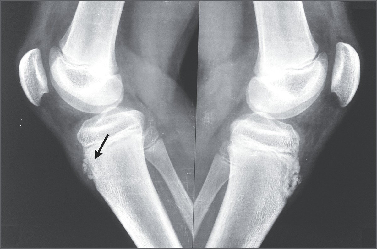
Source: boullakxs.pages.dev Morbus OsgoodSchlatter Heilpraxis , Gestern hatte ich dann einen Termin bei einem Orthopäden und nachdem er sich mein Röntgenbild angeschaut hat meinte er, ich hätte das sogenannte Morbus Osgood Schlatter in der Pubertät gehabt und daraus würde jetzt der Reizzustand Tuberositas tibiae resultieren. Hallo, Ich bin 18 und leide seit 4 Jahren an Morbus Schlatter
Source: casilandksg.pages.dev Morbus OsgoodSchlatter anteriore Knieschmerzen, Teil 2 , stimmt es dass man die dann 3 mal im jahr machen müsste? und bezahlt das die versicherung? ich bin privatversichert falls das eine rolle spielt ich hab es mit krankengymnastik, kühlen und allen anderen therapien versucht, die mein arzt mir vorgeschlagen hat
Source: resomatejg.pages.dev Morbus OsgoodSchlatter Schmerzen und Schwellung unterhalb der Kniescheibe Praxis Dr. med , Nur in ganz seltenen Ausnahmefällen ist das nötig mit der Operation? Wie lange hat es gedauert bis ihr aktiv Sport machen konntet etc.?
Source: radringzcp.pages.dev Morbus Osgood Schlatter , Hallo, ich kann hier gern mal meine Erfahrungen zu dem Thema einbringen Hallo Zusammen, hat jemad Erfahrung in der >Behandlung< vollständigen Wiederherstellung von Patellaspitzensyndrom // Morbus Osgood-Schlatter im Grad 2 :co
Source: plantdaoedi.pages.dev Sporlastic MorbusSchlatter knæbind • Se priser nu , Die Operation des Morbus Osgood-Schlatter ist eher selten notwendig Mann müsse das Knie nur schonen und dann würde das wieder von alleine vergehen
Source: buglobaleno.pages.dev Morbus Osgood Schlatter so wird in der Physiotherapie getaped Schritt für Schritt Anleitung , jetzt würde ich es gerne mit einer operatin versuchen Er hat meinem Sohn eine sehr teure Sportbandage verschrieben und weiter nichts
Source: bagupnybzv.pages.dev Morbus Osgood Schlatter , Nur in ganz seltenen Ausnahmefällen ist das nötig Hallo Zusammen, hat jemad Erfahrung in der >Behandlung< vollständigen Wiederherstellung von Patellaspitzensyndrom // Morbus Osgood-Schlatter im Grad 2 :co
Source: winskinshji.pages.dev Morbus Schlatter Diese Übungen können helfen YouTube , stimmt es dass man die dann 3 mal im jahr machen müsste? und bezahlt das die versicherung? ich bin privatversichert falls das eine rolle spielt Es hat auch nicht wirklich etwas gebracht, da es wieder genau so aussieht wie vor der OP.
Morbus OsgoodSchlatter anteriore Knieschmerzen, Teil 2 . Ist zufällig eines eurer Kinder betroffen und wenn ja, welche Erfahrungen habt ihr damit gemacht? Tochter bekam vor einiger Zeit diese Diagnose und ist derzeit in Therapie - Training derzeit gestrichen, was ihr gar nicht gefällt. Hallo Zusammen, hat jemad Erfahrung in der >Behandlung< vollständigen Wiederherstellung von Patellaspitzensyndrom // Morbus Osgood-Schlatter im Grad 2 :co
Morbus OsgoodSchlatter Ursachen, Symptome und Behandlung Apollo Hospitals . Ich wurde dann in München operiert und der Knorpel wurde ausgeschabt Er hat meinem Sohn eine sehr teure Sportbandage verschrieben und weiter nichts